< BACK TO BLOG
June 20, 2024

Radiopaque in Dentistry: What It Means and Why It Matters

radiopaque in dentistry

In the field of modern dentistry, diagnostic imaging plays a crucial role in assessment and treatment planning. A key term that often comes up during dental X-rays is radiopaque. But what does radiopaque mean, and why is it so important in dental care?

Let’s explore what radiopaque means, how it’s used, and why it matters for both patients and dental professionals.

What is Radiopaque?

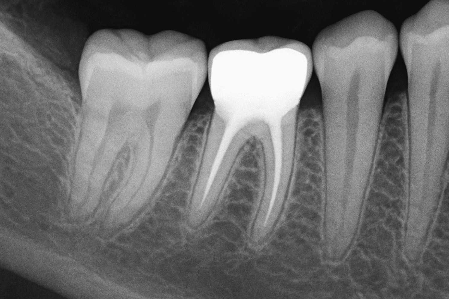
Radiopaque refers to any material or substance that appears white or light on X-ray images because it blocks or absorbs X-rays. This characteristic makes radiopaque substances highly visible on radiographic images—helping dentists identify, track, and monitor various structures in the mouth with high precision.

Define Radiopaque: In simple terms, radiopaque means “not allowing X-rays to pass through,” resulting in a bright, opaque appearance on radiographs.

This is different from radiolucent materials, which appear dark or black on X-rays because they allow X-rays to pass through. Understanding radiolucent vs radiopaque is key for interpreting dental X-rays accurately—helping to differentiate between healthy structures and potential problems.

Common Radiopaque Materials in Dentistry

Dentists use a variety of radiopaque materials to enhance the visibility and clarity of X-rays. Some common examples include:

  • Dental amalgam (used in fillings)
  • Composite resins
  • Metal crowns and bridges
  • Gutta-percha (used in root canals)
  • Orthodontic wires and brackets

Each of these materials shows up as a bright or white area on radiographs. This visibility helps dental professionals evaluate the positioning, integrity, and function of restorations or appliances with confidence.

Clinical Applications of Radiopaque Materials

Radiopaque substances are essential across many areas of dental care. Here’s how they’re used:

  • Detecting cavities and fractures
  • Confirming proper placement of implants
  • Assessing root canal success
  • Identifying impacted teeth or cysts
  • Evaluating jawbone density and structure

These applications highlight the diagnostic value of radiopaque materials in everyday dental services.

Radiolucent vs. Radiopaque: Key Differences

To fully grasp the concept, it’s important to compare radiolucent vs radiopaque:

  • Radiolucent materials—such as tooth decay, air, or soft tissue—allow X-rays to pass through and appear dark on the image. While a slightly chipped tooth itself may not be radiolucent, it can expose underlying decay or damage that is visible on an X-ray..
  • Radiopaque materials block X-rays, so they appear white or light on the image.

This contrast allows dentists to identify decay, infection, bone loss, or the precise location of fillings and crowns. It’s essential for treatment planning.

Glossary View: Radiopaque in Detail

To better understand the clinical significance of radiopaque substances, here’s a more detailed breakdown:

Types and Variations

Radiopaque materials come in various forms—such as amalgam, metal alloys, and advanced biocompatible compounds used in implants, crowns, and bridges. Each has different visibility levels, durability, and applications.

Insertion and Placement

These materials are applied or inserted by dental professionals with careful precision. Correct placement ensures visibility on X-rays and long-term treatment success.

Potential Complications

Though rare, certain radiopaque materials can trigger allergic reactions or sensitivity. Dentists should be aware of these risks and discuss them during treatment planning.

Maintenance and Care

Restorations using radiopaque materials require good oral hygiene and routine check-ups. Patients should follow dental care guidelines to maintain the function and lifespan of their restorations.

Associated Terms

It’s essential to differentiate between radiopaque and radiolucent materials (like some ceramics or plastics). These contrasts help in diagnosing both hard and soft tissue issues effectively.

Innovations and Advancements

Advancements in radiopaque dental materials have resulted in improved strength, aesthetics, and tissue compatibility. These innovations continue to improve the quality of care delivered by dental professionals.

Regulatory and Safety Standards

All radiopaque materials used in dental services must comply with regulatory safety standards for biocompatibility and durability, ensuring both patient safety and treatment success.

Why Radiopacity Is Important in Dental Diagnostics

Radiopacity is more than just a technical term—it has practical implications that directly affect patient care. Here’s why it’s vital:

1. Tracking Restorations

Dentists rely on the radiopaque properties of materials to track fillings, crowns, bridges, and implants. These materials are made to be easily visible in X-rays, ensuring they are properly placed and functioning.

2. Detecting Tooth and Bone Issues

Tooth enamel and jawbone are naturally radiopaque. Any drop in radiopacity can indicate decay, bone loss, or demineralization—prompting early intervention.

3. Avoiding Misdiagnoses

Using radiopaque materials prevents confusion between restorations and actual dental pathologies. This accuracy leads to faster, more effective treatments.

Why Patients Should Care About Radiopaque Materials

Understanding what radiopaque means can help patients interpret their X-rays. When your dentist points to a bright area on an image, that’s likely a filling, crown, or implant—and it’s supposed to be there!

This understanding helps you track your progress, ask informed questions, and make better decisions about your oral health.

Final Thoughts

The use of radiopaque materials is foundational in modern dental imaging and treatment. From the smallest filling to the most complex implant, these substances ensure that every step is visible, verifiable, and accurately monitored.

At Pinnacle Dentistry, we use advanced radiopaque materials in all our treatments to guarantee safety, precision, and outstanding results. As a leading Dentist in Colorado Springs, we’re committed to delivering top-tier dental services with full transparency—both on your treatment plan and on your X-rays.

Visit Us:

Contact: info@pinnacledentistryco.com
Call: 719-590-7100Headquarters:
Briargate Business Center, 2430 Research Pkwy, Suite #200
Colorado Springs, CO 80920

Thank you for checking out our blog. We hope you enjoyed it and ask that you please share it.

About Pinnacle Dentistry

Personal. Individualized. Relationships. When you come to Pinnacle Dentistry, you will feel more like you’ve entered a good friend’s living room, not a dental practice. The warm tones and friendly staff will instantly ease your burdens and let you know you’ve made the right choice for your dental wellness provider.

Our passion is providing truly acclaimed care that takes into consideration your total wellbeing. Dr. Jennings and Dr Perrett are both extremely personable, approachable, conservative and attentive. “Your committed and empathetic Pinnacle Dentistry care providers welcome you as part of our family! We strive to maximize your well-being and happiness by providing comfortable, conservative, and long-lasting solutions to eliminate unnecessary treatment, save you money and have you look amazing. We look forward to meeting you.” Drs Jennings and Perrett. Pinnacle Dentistry

radiopaque in dentistry

Author

bob@tenpeaksmedia.com